Borrar
Las diez noticias clave de la jornada

Miércoles, 9 de agosto 2017, 15:36

Modo oscuro

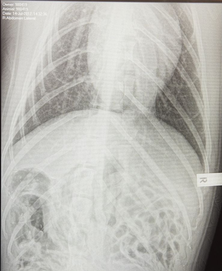
Un veterinario monitoriza la artritis de Tarwin, una foca que se encuentra en el zoológico de Melbourne, Australia. La artritis puede aparecer en gran número de animales envejecidos por eso, el equipo veterinario en el zoológico de Melbourne tiene estrategias para mantener la calidad de vida de los ejemplares afectados.

efe
Un veterinario monitoriza la artritis de Tarwin, una foca que se encuentra en el zoológico de Melbourne, Australia. La artritis puede aparecer en gran número de animales envejecidos por eso, el equipo veterinario en el zoológico de Melbourne tiene estrategias para mantener la calidad de vida de los ejemplares afectados.
Un veterinario monitoriza la artritis de Tarwin, una foca que se encuentra en el zoológico de Melbourne, Australia. La artritis puede aparecer en gran número de animales envejecidos por eso, el equipo veterinario en el zoológico de Melbourne tiene estrategias para mantener la calidad de vida de los ejemplares afectados.

Un veterinario monitoriza la artritis de Tarwin, una foca que se encuentra en el zoológico de Melbourne, Australia. La artritis puede aparecer en gran número de animales envejecidos por eso, el equipo veterinario en el zoológico de Melbourne tiene estrategias para mantener la calidad de vida de los ejemplares afectados.

efe
Un veterinario monitoriza la artritis de Tarwin, una foca que se encuentra en el zoológico de Melbourne, Australia. La artritis puede aparecer en gran número de animales envejecidos por eso, el equipo veterinario en el zoológico de Melbourne tiene estrategias para mantener la calidad de vida de los ejemplares afectados.
Un veterinario monitoriza la artritis de Tarwin, una foca que se encuentra en el zoológico de Melbourne, Australia. La artritis puede aparecer en gran número de animales envejecidos por eso, el equipo veterinario en el zoológico de Melbourne tiene estrategias para mantener la calidad de vida de los ejemplares afectados.

Un veterinario monitoriza la artritis de Tarwin, una foca que se encuentra en el zoológico de Melbourne, Australia. La artritis puede aparecer en gran número de animales envejecidos por eso, el equipo veterinario en el zoológico de Melbourne tiene estrategias para mantener la calidad de vida de los ejemplares afectados.

efe
Un veterinario monitoriza la artritis de Tarwin, una foca que se encuentra en el zoológico de Melbourne, Australia. La artritis puede aparecer en gran número de animales envejecidos por eso, el equipo veterinario en el zoológico de Melbourne tiene estrategias para mantener la calidad de vida de los ejemplares afectados.
Un veterinario monitoriza la artritis de Tarwin, una foca que se encuentra en el zoológico de Melbourne, Australia. La artritis puede aparecer en gran número de animales envejecidos por eso, el equipo veterinario en el zoológico de Melbourne tiene estrategias para mantener la calidad de vida de los ejemplares afectados.

Un veterinario monitoriza la artritis de Tarwin, una foca que se encuentra en el zoológico de Melbourne, Australia. La artritis puede aparecer en gran número de animales envejecidos por eso, el equipo veterinario en el zoológico de Melbourne tiene estrategias para mantener la calidad de vida de los ejemplares afectados.

efe
Un veterinario monitoriza la artritis de Tarwin, una foca que se encuentra en el zoológico de Melbourne, Australia. La artritis puede aparecer en gran número de animales envejecidos por eso, el equipo veterinario en el zoológico de Melbourne tiene estrategias para mantener la calidad de vida de los ejemplares afectados.
Un veterinario monitoriza la artritis de Tarwin, una foca que se encuentra en el zoológico de Melbourne, Australia. La artritis puede aparecer en gran número de animales envejecidos por eso, el equipo veterinario en el zoológico de Melbourne tiene estrategias para mantener la calidad de vida de los ejemplares afectados.

Un veterinario monitoriza la artritis de Tarwin, una foca que se encuentra en el zoológico de Melbourne, Australia. La artritis puede aparecer en gran número de animales envejecidos por eso, el equipo veterinario en el zoológico de Melbourne tiene estrategias para mantener la calidad de vida de los ejemplares afectados.

efe
Un veterinario monitoriza la artritis de Tarwin, una foca que se encuentra en el zoológico de Melbourne, Australia. La artritis puede aparecer en gran número de animales envejecidos por eso, el equipo veterinario en el zoológico de Melbourne tiene estrategias para mantener la calidad de vida de los ejemplares afectados.
Un veterinario monitoriza la artritis de Tarwin, una foca que se encuentra en el zoológico de Melbourne, Australia. La artritis puede aparecer en gran número de animales envejecidos por eso, el equipo veterinario en el zoológico de Melbourne tiene estrategias para mantener la calidad de vida de los ejemplares afectados.

Un veterinario monitoriza la artritis de Tarwin, una foca que se encuentra en el zoológico de Melbourne, Australia. La artritis puede aparecer en gran número de animales envejecidos por eso, el equipo veterinario en el zoológico de Melbourne tiene estrategias para mantener la calidad de vida de los ejemplares afectados.

efe
Un veterinario monitoriza la artritis de Tarwin, una foca que se encuentra en el zoológico de Melbourne, Australia. La artritis puede aparecer en gran número de animales envejecidos por eso, el equipo veterinario en el zoológico de Melbourne tiene estrategias para mantener la calidad de vida de los ejemplares afectados.
Un veterinario monitoriza la artritis de Tarwin, una foca que se encuentra en el zoológico de Melbourne, Australia. La artritis puede aparecer en gran número de animales envejecidos por eso, el equipo veterinario en el zoológico de Melbourne tiene estrategias para mantener la calidad de vida de los ejemplares afectados.

Un veterinario monitoriza la artritis de Tarwin, una foca que se encuentra en el zoológico de Melbourne, Australia. La artritis puede aparecer en gran número de animales envejecidos por eso, el equipo veterinario en el zoológico de Melbourne tiene estrategias para mantener la calidad de vida de los ejemplares afectados.

efe
Un veterinario monitoriza la artritis de Tarwin, una foca que se encuentra en el zoológico de Melbourne, Australia. La artritis puede aparecer en gran número de animales envejecidos por eso, el equipo veterinario en el zoológico de Melbourne tiene estrategias para mantener la calidad de vida de los ejemplares afectados.
Un veterinario monitoriza la artritis de Tarwin, una foca que se encuentra en el zoológico de Melbourne, Australia. La artritis puede aparecer en gran número de animales envejecidos por eso, el equipo veterinario en el zoológico de Melbourne tiene estrategias para mantener la calidad de vida de los ejemplares afectados.

Un veterinario monitoriza la artritis de Tarwin, una foca que se encuentra en el zoológico de Melbourne, Australia. La artritis puede aparecer en gran número de animales envejecidos por eso, el equipo veterinario en el zoológico de Melbourne tiene estrategias para mantener la calidad de vida de los ejemplares afectados.

efe
Un veterinario monitoriza la artritis de Tarwin, una foca que se encuentra en el zoológico de Melbourne, Australia. La artritis puede aparecer en gran número de animales envejecidos por eso, el equipo veterinario en el zoológico de Melbourne tiene estrategias para mantener la calidad de vida de los ejemplares afectados.
Un veterinario monitoriza la artritis de Tarwin, una foca que se encuentra en el zoológico de Melbourne, Australia. La artritis puede aparecer en gran número de animales envejecidos por eso, el equipo veterinario en el zoológico de Melbourne tiene estrategias para mantener la calidad de vida de los ejemplares afectados.

Un veterinario monitoriza la artritis de Tarwin, una foca que se encuentra en el zoológico de Melbourne, Australia. La artritis puede aparecer en gran número de animales envejecidos por eso, el equipo veterinario en el zoológico de Melbourne tiene estrategias para mantener la calidad de vida de los ejemplares afectados.

efe
Un veterinario monitoriza la artritis de Tarwin, una foca que se encuentra en el zoológico de Melbourne, Australia. La artritis puede aparecer en gran número de animales envejecidos por eso, el equipo veterinario en el zoológico de Melbourne tiene estrategias para mantener la calidad de vida de los ejemplares afectados.
Un veterinario monitoriza la artritis de Tarwin, una foca que se encuentra en el zoológico de Melbourne, Australia. La artritis puede aparecer en gran número de animales envejecidos por eso, el equipo veterinario en el zoológico de Melbourne tiene estrategias para mantener la calidad de vida de los ejemplares afectados.

Un veterinario monitoriza la artritis de Tarwin, una foca que se encuentra en el zoológico de Melbourne, Australia. La artritis puede aparecer en gran número de animales envejecidos por eso, el equipo veterinario en el zoológico de Melbourne tiene estrategias para mantener la calidad de vida de los ejemplares afectados.

efe
Un veterinario monitoriza la artritis de Tarwin, una foca que se encuentra en el zoológico de Melbourne, Australia. La artritis puede aparecer en gran número de animales envejecidos por eso, el equipo veterinario en el zoológico de Melbourne tiene estrategias para mantener la calidad de vida de los ejemplares afectados.
Un veterinario monitoriza la artritis de Tarwin, una foca que se encuentra en el zoológico de Melbourne, Australia. La artritis puede aparecer en gran número de animales envejecidos por eso, el equipo veterinario en el zoológico de Melbourne tiene estrategias para mantener la calidad de vida de los ejemplares afectados.

Publicidad

Esta funcionalidad es exclusiva para suscriptores.

Reporta un error en esta noticia

* Campos obligatorios

diariovasco Tarwin, una foca con artritis