Alzhéimer: ni es genético ni solo afecta a la pérdida de memoria
Mitos. Esta enfermedad es la primera causa de demencia neurodegenerativa y, a pesar de su alta prevalencia, son muchas las falsas creencias que la rodean
La enfermedad de Alzheimer es la primera causa de demencia neurodegenerativa a nivel mundial y supone un problema sanitario de primer orden. En estos momentos, se estima que 40 millones de personas en el mundo padecen esta patología y se prevé que esta cifra aumente de forma exponencial en las próximas décadas. Extrapolando esas cifras a Gipuzkoa, se podría afirmar que actualmente este mal afecta a alrededor de 13.400 personas en el territorio y, por consiguiente, a más de 40.000 familiares y cuidadores. Y va en aumento, puesto que el envejecimiento es el principal factor de riesgo de la enfermedad. Las previsiones alertan de que en 2050 afectará a cerca de 37.000 guipuzcoanos y a más de 116.000 familiares.
Enfermos y familiares afectados
Enfermos
Entorno
afectado
120.000
40.000
80.000
0
2025
13.400
2050
37.000
2025
40.000
116.000
2050
Enfermos y familiares afectados
Enfermos
Entorno
afectado
120.000
40.000
80.000
0
2025
13.400
2050
37.000
2025
40.000
2050
116.000
Enfermos y familiares afectados
Enfermos
Entorno
afectado
116.000
120.000
100.000
80.000
60.000
40.000
37.000
40.000
13.400
20.000
0
2025
2025
2050
2050
Enfermos y familiares afectados
Enfermos
Entorno
afectado
116.000
120.000
100.000
80.000
60.000
40.000
37.000
40.000
13.400
20.000
0
2025
2025
2050
2050
A pesar de los notables avances que se han producido en el diagnóstico y tratamiento de la enfermedad en el ámbito científico, con demasiada frecuencia afloran algunas nociones no del todo exactas, y en ocasiones totalmente desacertadas, acerca delalzhéimer y que perduran en el imaginario popular. Prestigiosos neurólogos de Gipuzkoa desmontan en DV alguna de estas falsas creencias o «'neuroleyendas' urbanas» sobre esta demencia.

Se sabe lo que causa el mal de Alzheimer
Saber el origen de una enfermedad es el principal caballo de batalla de la comunidad científica para poder avanzar en su tratamiento. Las neurodegenerativas, aquellas que causan la pérdida progresiva de las células nerviosas (neuronas) en el sistema nervioso central, se caracterizan por tener un germen desconocido. Ocurre con el Parkinson, la Esclerosis Lateral Amiotrófica (ELA)... y también con el alzhéimer.
«La causa en sí misma se desconoce. Existen distintas hipótesis o teorías en las que influyen factores de naturaleza muy diversa como las vasculares, inflamatorias, infecciosas... Realmente nadie sabe muy bien qué es lo que provoca la neurodegeneración», explica PabloMartínez-Lage, neurólogo y director de la fundación donostiarra Cita Alzheimer. En este sentido, el experto se refiere a esta enfermedad como «la vía final común de distintos procesos que hacen que el cerebro reaccione de esa manera».

NEURONA
1
PLACAS DE AMILOIDE
Aparecen años antes de los primeros síntomas. La proteína de las neuronas se rompe y se acumula en placas que interfieren en la conexión entre neuronas
Impulsos
eléctricos
2
OVILLOS DESORGANIZADOS
El esqueleto de las neuronas se desorganiza formando ovillos
3
SE ROMPEN LAS CONEXIONES
Y la neurona acaba muriendo
HIPOCAMPO
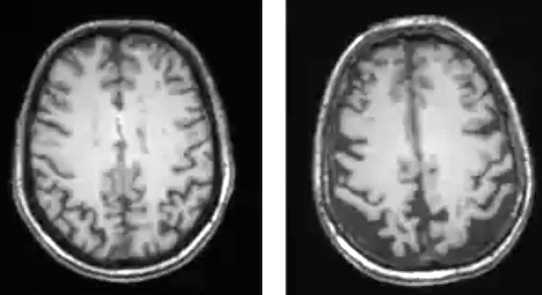
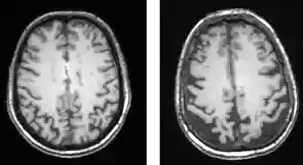
Es la principal parte del cerebro que se ve afectada, que es el encargada de la memoria. Una de sus funciones principales es la consolidación de esta, digamos es como una imprenta: convierte recuerdos a corto plazo en memoria a largo plazo. Es erróneo pensar que alguien no puede tener alzhéimer porque se acuerda de cosas del pasado.

NEURONA
Impulsos
eléctricos
1
PLACAS DE AMILOIDE
Aparecen años antes de los primeros síntomas. La proteína de las neuronas se rompe y se acumula en placas que interfieren en la conexión entre neuronas
2
OVILLOS DESORGANIZADOS
El esqueleto de las neuronas se desorganiza formando ovillos
3
SE ROMPEN LAS CONEXIONES
Y la neurona acaba muriendo
HIPOCAMPO
Es la principal parte del cerebro que se ve afectada, que es el encargada de la memoria. Una de sus funciones principales es la consolidación de esta, digamos es como una imprenta: convierte recuerdos a corto plazo en memoria a largo plazo. Es erróneo pensar que alguien no puede tener alzhéimer porque se acuerda de cosas del pasado.

Impulsos eléctricos
NÚCLEO
NEURONA
1
PLACAS DE AMILOIDE
Aparecen años antes de los primeros síntomas. La proteína de las neuronas se rompe y se acumula en placas que interfieren en la conexión entre neuronas
2
OVILLOS DESORGANIZADOS
El esqueleto de las neuronas se desorganiza formando ovillos
3
SE ROMPEN LAS CONEXIONES
Y la neurona acaba muriendo
HIPOCAMPO
Es la principal parte del cerebro que se ve afectada, que es el encargada de la memoria. Una de sus funciones principales es la consolidación de esta, digamos es como una imprenta: convierte recuerdos a corto plazo en memoria a largo plazo. Es erróneo pensar que alguien no puede tener alzhéimer porque se acuerda de cosas del pasado.

NÚCLEO
Impulsos eléctricos
NEURONA
1
PLACAS DE AMILOIDE
Aparecen años antes de los primeros síntomas. La proteína de las neuronas se rompe y se acumula en placas que interfieren en la conexión entre neuronas
2
OVILLOS DESORGANIZADOS
El esqueleto de las neuronas se desorganiza formando ovillos
3
SE ROMPEN LAS CONEXIONES
Y la neurona acaba muriendo
HIPOCAMPO
Es la principal parte del cerebro que se ve afectada, que es el encargada de la memoria. Una de sus funciones principales es la consolidación de esta, digamos es como una imprenta: convierte recuerdos a corto plazo en memoria a largo plazo. Es erróneo pensar que alguien no puede tener alzhéimer porque se acuerda de cosas del pasado.

Solo es un problema de memoria
El alzhéimer es una enfermedad neurodegenerativa que provoca un deterioro cognitivo progresivo que dificulta el ejercicio normal de las actividades cotidianas.
La duración de la enfermedad suele ser larga, y en la mayoría de los casos se sitúa entre 4 y 8 años, pero puede variar según el caso. Durante este tiempo, la afectación y la dependencia van en aumento.

Las siete fases de la enfermedad
NORMALIDAD
1
Sin pérdida alguna
DETERIORO
COGNITIVO SEVERO
2
Sutiles dificultades
de memoria, propias
del envejecimiento
DETERIORO
COGNITIVO LEVE
3
Desorientación,
pérdida de objetos y
dificultades para
evocar palabras o
nombres
DEMENCIA LEVE
4
Dificultades para gestionar la economía personal, recordar hechos recientes o confusión de detalles de su propia historia personal
DEMENCIA
MODERADA
5
No recuerda datos simples, pierde orientación física y temporal y necesita ayuda para realizar tareas cotidianas
DEMENCIA
MODERADA-GRAVE
6
Cambios de conducta, olvida el nombre de personas cercanas y aparecen problemas de control de esfínteres
DEMENCIA GRAVE
7
Pérdida progresiva de la capacidad de comunicarse y hablar y necesidad de ayuda para actividades básicas

Las siete fases de la enfermedad
1
2
NORMALIDAD
DETERIORO
COGNITIVO SEVERO
Sin pérdida alguna
Sutiles dificultades
de memoria, propias
del envejecimiento
3
4
DEMENCIA LEVE
DETERIORO
COGNITIVO LEVE
Dificultades para gestionar la economía personal, recordar hechos recientes o confusión de detalles de su propia historia personal
Desorientación,
pérdida de objetos y
dificultades para
evocar palabras o
nombres
5
6
DEMENCIA
MODERADA
DEMENCIA MODERADA-GRAVE
No recuerda datos simples, pierde orientación física y temporal y necesita ayuda para realizar tareas cotidianas
Cambios de conducta, olvida el nombre de personas cercanas y aparecen problemas de control de esfínteres
7
DEMENCIA
GRAVE
Pérdida progresiva de la capacidad de comunicarse y hablar y necesidad de ayuda para actividades básicas

Las siete fases de la enfermedad
1
2
3
NORMALIDAD
DETERIORO
COGNITIVO SEVERO
DETERIORO
COGNITIVO LEVE
Sin pérdida alguna
Sutiles dificultades
de memoria, propias
del envejecimiento
Desorientación,
pérdida de objetos y
dificultades para
evocar palabras o
nombres
5
4
6
DEMENCIA
MODERADA
DEMENCIA LEVE
DEMENCIA MODERADA-GRAVE
Dificultades para gestionar la economía personal, recordar hechos recientes o confusión de detalles de su propia historia personal
No recuerda datos simples, pierde orientación física y temporal y necesita ayuda para realizar tareas cotidianas
Cambios de conducta, olvida el nombre de personas cercanas y aparecen problemas de control de esfínteres
7
DEMENCIA
GRAVE
Pérdida progresiva de la capacidad de comunicarse y hablar y necesidad de ayuda para actividades básicas

Las siete fases de la enfermedad
1
2
3
4
NORMALIDAD
DETERIORO
COGNITIVO SEVERO
DETERIORO
COGNITIVO LEVE
DEMENCIA LEVE
Dificultades para gestionar la economía personal, recordar hechos recientes o confusión de detalles de su propia historia personal
Sin pérdida alguna
Sutiles dificultades
de memoria, propias
del envejecimiento
Desorientación,
pérdida de objetos y
dificultades para
evocar palabras o
nombres
7
5
6
DEMENCIA
GRAVE
DEMENCIA
MODERADA
DEMENCIA MODERADA-GRAVE
Pérdida progresiva de la capacidad de comunicarse y hablar y necesidad de ayuda para actividades básicas
Cambios de conducta, olvida el nombre de personas cercanas y aparecen problemas de control de esfínteres
No recuerda datos simples, pierde orientación física y temporal y necesita ayuda para realizar tareas cotidianas
Efectivamente, la enfermedad se caracteriza principalmente por la pérdida de memoria. «Pero puede provocar mucho más síntomas», explica Gurutz Linazasoro, neurólogo de Policlínica Gipuzkoa. Hace referencia a «trastornos de conducta, del lenguaje, problemas de orientación, afectación de otras funciones cognitivas... aunque la memoria siempre es el síntoma más relevante, el más característico».

Es una enfermedad hereditaria
Uno de los mitos más extendidos acerca de esta enfermedad es que si una persona ha sufrido de alzhéimer sus descendientes también lo van a desarrollar. «El factor genético representa menos del 1% de los casos», indica Linazasoro. «En el 99% restante son formas esporádicas en los que la herencia juega un papel, pero es un papel que no es determinante. Tiene que sumarse a otros factores ambientales y al envejecimiento, que también está ahí y es un proceso que favorece que aparezca la enfermedad. Pero ninguno de los tres es determinante».

Inevitable a medida que envejeces
En la mayoría de los casos (a excepción de los genéticamente determinados), se desconocen cuáles son las causas que originan la enfermedad de Alzheimer. Pero lo cierto es que cada vez son más las evidencias que apoyan la tesis de que no hay una única causa, sino que son varios los factores que, en mayor o menor medida, pueden incidir en su posible desarrollo. Es lo que se conoce como factores de riesgo.
«Hay muchas personas que mueren con 100 años y no tienen síntomas de alzhéimer, porque en principio mueren con cerebros sanos, y también hay personas que mueren con un cerebro típico de alzhéimer pero que no desarrollan síntomas porque tienen unos mecanismos de compensación muy poderosos», asegura el neurólogo de Policlínica Gipuzkoa. Se refiere a «la experiencia vital, la educación, el trabajo, tu curiosidad... muchas cosas de tu dieta, de tu estilo de vida, que también sirven para prevenir».
El director de la fundación donostiarra Cita Alzheimer agrega que esta enfermedad «no es consecuencia de la edad, no es un envejecimiento acelerado».

Solo se puede diagnosticar con un 100% de seguridad en la autopsia
Es una de las «'neuroleyendas' urbanas» más extendidas sobre la enfermedad de Alzheimer, a juicio de Martínez-Lage. «Mentira podrida. Se puede diagnosticar con un altísimo grado de fiabilidad hoy en día en vida de la persona gracias a los biomarcadores», sostiene. La evaluación es clínica y se basa en tres datos que el médico investiga con los medios adecuados. Por un lado, la presencia de los síntomas y los signos típicos de la enfermedad y su confirmación con pruebas de memoria y otras funciones cognitivas. Por otro lado, la presencia de cambios en el cerebro por pruebas de imagen cerebral.
Finalmente, la historia clínica, la exploración neurológica, las pruebas de imagen cerebral y los análisis de sangre permiten sospechar y descartar otras posibles causas que van desde los procesos vasculares o los tumores cerebrales, hasta la hidrocefalia, enfermedades del hígado o el riñón, enfermedades endocrinológicas como el hipotiroidismo, déficit de vitaminas o ácido fólico o incluso otras enfermedades neurodegenerativas como el párkinson, la enfermedad con cuerpos de Lewy o las degeneraciones frontotemporales.

Los fármacos actuales frenan el avance
A pesar de que la Agencia Europea del Medicamento ha aprobado recientemente dos fármacos que suponen un rayo de esperanza en este ámbito, en la actualidad España no cuenta con ningún medicamento comercializado que modifique el curso neurobiológico de la enfermedad. «Lo que hacen es llevarse la proteína que se ha depositado.

Así funcionan los
medicamentos contra
el alzhéimer
Estos medicamentos se adhieren a las proteínas amiloides
1
Las células inmunes descomponen la proteína amiloide
2
El resultado es que
hay menos proteína alrededor de la neurona
3

Así funcionan los medicamentos contra el alzhéimer
Estos medicamentos se adhieren a las proteínas amiloides
1
Las células inmunes descomponen la proteína amiloide
2
El resultado es que hay menos proteína alrededor de la neurona
3

Así funcionan los medicamentos contra el alzhéimer
Las células inmunes descomponen la proteína amiloide
2
Estos medicamentos se adhieren a las proteínas amiloides
1
El resultado es que hay menos proteína alrededor de la neurona
3

Así funcionan los medicamentos contra el alzhéimer
Estos medicamentos se adhieren a las proteínas amiloides
Las células inmunes descomponen la proteína amiloide
El resultado es que hay menos proteína alrededor de la neurona
1
2
3
Pero es como una casa que se ha ensuciado y la has limpiado, igual la casa tiene daños estructurales que se han producido como consecuencia de todo eso», ejemplifica Adolfo López de Munain, neurólogo responsable del área de Neurociencias de Biogipuzkoa. Por tanto, los fármacos actuales producen «una mejoría clínica», pero no frenan su avance.

Demencia y Alzheimer es lo mismo
Se trata de dos conceptos estrechamente relacionados y que en muchas ocasiones se utilizan incluso como sinónimos de manera errónea, pero no son ni mucho menos los mismo. «Es como si te dijese neumonía y Covid. El Covid puede causar neumonía, pero no son lo mismo», ejemplifica Martínez-Lage.
Demencia, prosigue el neurólogo, es lo que los médicos denominan «síndrome clínico, es decir, un conjunto de síntomas». El más habitual es la dependencia. «Cuando una persona es dependiente y el motivo de esa dependencia es un deterioro cognitivo, a eso le llamamos demencia», puntualiza. Esta situación la puede causar el alzhéimer, pero también «el párkinson, las degeneraciones frontotemporales, un cúmulo de infartos cerebrales, un tumor cerebral... El síndrome de dependencia por un déficit cognitivo es lo que llamamos demencia. Y eso lo puede causar hasta 70 enfermedades distintas».